Boyun Düzleşmesi
10 dakikalık okuma
28 Kasım '25

Boyun Düzleşmesi nedir?

Omurganın en üst kısmını oluşturan servikal omurga , yedi omurdan (C1-C7) oluşur. Kafatasının hemen altından başlar ve torasik omurgaya kadar uzanır. Bu bölge, çok çeşitli baş hareketlerine olanak tanıyan esnekliğiyle bilinir.

Servikal Omurganın Anatomisi

Servikal Lordoz Nedir?

Servikal lordoz, servikal omurganın içe doğru eğrilmesini ifade eder. Bu eğrilik, baş ve boynun omuzlar üzerinde dengelenmesine yardımcı olarak ağırlık ve stresin optimum dağılımını sağladığı için hayati önem taşır.

Servikal Omurga için ideal Eğri Nedir?

Sağlıklı bir servikal omurga, genellikle hafif bir yay şeklindedir ve konveksliği boynun arkasına doğru bakar. Bu eğrilik genellikle derece cinsinden ifade edilir ve normal aralık yaklaşık 20-40 derecedir. Ancak, “normal”in kişiden kişiye değişebileceğini unutmamak önemlidir.

Omurga Sağlığında Servikal Lordozun Rolü

Servikal lordoz sadece anatomiyle ilgili değil, işlevsellikle de ilgilidir. Bu eğrilik günlük hayatımızda önemli bir rol oynar.

Baş ve Boynu Destekleme

Servikal lordozun en belirgin işlevi başı desteklemektir. İnsan başı yaklaşık 4,5-5,5 kg ağırlığındadır ve servikal eğri, bu ağırlığın omurga boyunca eşit şekilde dağılmasına yardımcı olur.

Şok Emilimi

Bir diğer kritik işlevi ise şok emilimidir. Yürüdüğünüzde, koştuğunuzda veya zıpladığınızda omurganız darbeleri emer. Servikal lordoz da dahil olmak üzere omurganın kıvrımları, bu kuvvetleri yastıklayan bir yay gibi davranır.

Hareketi Kolaylaştırır

Eğrilik, baş ve boynun akıcı ve esnek hareket etmesini sağlar. Bu hareket aralığı, başınızı sallamak ve çevirmek gibi günlük aktiviteler için çok önemlidir.

Dengeyi Koruma

Servikal lordoz, vücudun genel dengesinin korunmasında rol oynar. Başın omurgayla hizalanmasını sağlayarak dengeli ve dik bir duruşa katkıda bulunur.

Servikal Lordoz Bozulduğunda

Servikal lordoz arttığında veya azaldığında endişe verici olabiliyor.

Hipolordoz ve Hiperlordoz

Boyun eğriliğinin azalması (hipo-lordoz) veya fazla artması(hiper-lordoz) sorunlarına yol açabilir. Boyundaki bu değişiklikler kötü duruş, omurga yaralanmaları veya doğuştan omurga rahatsızlıkları gibi faktörlerden kaynaklanabilir.

Boyun Omurgasının Düzleştirilmesi Tehlikeli midir?

Boynunuzdaki normal eğriliği kaybettiyseniz, düzenli olarak boyun ve/veya baş ağrısı yaşıyor olabilirsiniz ve hatta “başınızın boynunuza göre çok ağır olduğu hissine” bile kapılabilirsiniz.

Neden?

Başınızın ağırlığının taşınması için servikal eğri (lordoz) ile torasik eğri (kifoz) arasında bir denge gereklidir. Boyun lordozu bozulduğunda bu dengenin sağlanması için boyun kaslarınız gevşer. Ancak boynun ağırlığının taşınması kasların işi olmadığı için kaslara binen ek stres boyun ve baş ağrısına yol açar.

Boyun omurgasındaki düzleşme aynı zamanda biyomekanik sorunlara yol açabilir, omurganın diğer bölgelerine baskı yapabilir ve diskler üzerine ekstra yük binmesine neden olarak zamanla disk dejenerasyonuna yol açabilir.

Boyun lordozunun düzeltilmesi üzerine yapılan araştırmalar, beyne giden kanın boyun kemiklerindeki deliklerden geçmesi gereken damarlardan geçmesi nedeniyle, beynin belirli bölgelerine kan akışının bozulabileceğini de göstermiştir.

Servikal Lordoz Kaybının Belirtileri

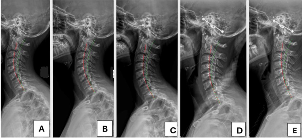
Servikal lordoz, servikal omurganın (boyun bölgesi) doğal ve doğru açıdaki içe doğru eğriliğini ifade eder. Bu eğri azaldığında “servikal lordoz kaybı” veya ” düzleşmesi” olarak adlandırılır. Bu omurga hizalanmasındaki değişiklik, kötü duruş, kas zorlanması, travma, doğuştan anomaliler, dejeneratif değişiklikler veya diğer omurga rahatsızlıkları gibi çeşitli nedenlerden kaynaklanabilir.

Eğer boyun düzleşmeniz var ise aşağıdaki belirtileri yaşayabilirsiniz:

  • Boyun ağrısı: Bu en yaygın semptomdur. Ağrı donuk veya keskin olabilir ve hafiften şiddetliye kadar değişebilir. Sürekli veya aralıklı olabilir.
  • Sertlik: Boyun, ense ve omuz başlarındaki kaslarda sertlik ve gerginlik olur. Başın yan hareketleri ve dönme hareketleri zorlaşır hatta ağrılı olabilir.
  • Baş Ağrıları: Özellikle kafatasının tabanında gerilim tipi baş ağrıları veya oksipital nevralji görülebilir.
  • Kas spazmlarıBoyundaki kaslar sıklıkla spazma uğrar.
  • Uyuşma veya karıncalanma: Servikal hizalanmadaki değişiklik sinir sıkışmasına yol açarak kollarda uyuşma, karıncalanma veya hatta güçsüzlük gibi hislere neden olabilir.
  • Hareket aralığında azalma: Başın bir yandan diğer yana çevrilmesi veya yukarı aşağı eğilmesi kısıtlanabilir.
  • Omuz ağrısı: Ağrı omuz bölgesine yayılabilir veya yayılabilir.
  • Yayılan ağrı: Bazı durumlarda ağrı kollara ve ellere yayılabilir; bu belirtiye genellikle radikülopati denir.
  • Postür bozukluğu: Kişilerde başın omuzlara göre daha önde konumlandığı ileri bir baş duruşu gelişir. Ayrıca yuvarlak omuz oluşur.
  • Yorgunluk: Sürekli ağrı veya rahatsızlık yorgunluğa veya genel yorgunluğa yol açabilir.
  • Baş dönmesi veya sersemlik hissi: Daha az yaygın olmakla birlikte, bazı kişilerde boyun sorunlarıyla ilişkili baş dönmesi veya sersemlik hissi yaşanabilir.
  • Yutma veya nefes almada zorluk: Aşırı durumlarda, yapıda önemli bir sıkışma veya değişiklik varsa, yutma veya nefes almada zorluk yaşanabilir. Bu nadirdir, ancak daha ciddi bir rahatsızlığın belirtisi olabilir.
  • Görme bozuklukları: Nadir durumlarda, değişen servikal hizalanma görsel semptomlara yol açabilir.

wiplash sendromu

Servikal Lordozun Düzleşmesinin Nedenleri

Servikal lordozun düzleşmesi çeşitli nedenlerden kaynaklanır. Tipik nedenler şunlardır:

  • Kötü Duruş: Uzun süre telefona veya dizüstü bilgisayara bakmak, boyun lordozunun düzleşmesinin en yaygın nedenlerinden biridir. Bu durum, sonunda boynun gerilmesine ve doğal eğriliğinin kaybolmasına neden olabilir.
  • Travma veya Yaralanma: Boyun omurgası, boynu anormal bir pozisyona iten trafik kazaları gibi yaralanmalar sonucunda düzleşebilir. Küçük yaralanmalar bile omurga hizalamasını uzun süre etkileyebilir.
  • Kas Dengesizlikleri: Boyun omurgasını destekleyen kaslardaki zayıflık, omurga hizalanmasını etkileyen dengesizliklere yol açarak boyun eğrisinin düzleşmesine neden olabilir.
  • Omurga Deformiteleri: Skolyoz veya kifoz gibi durumlar, servikal bölge de dahil olmak üzere omurganın genel hizalanmasını etkileyerek lordozun düzleşmesine neden olabilir.
  • Dejeneratif Hastalıklar:Osteoartrit veya disk dejenerasyonu gibi durumlar, omurları zayıflatarak boyun eğrisinde değişikliklere yol açabilir. Omurga yapılarının bozulması eğrinin bütünlüğü etkileyebilir.
  • Genetik Faktörler: Bazı bireylerde servikal lordozun daha az belirgin olması veya hiç olmaması omurga hizalama bozukluklarına yol açan genetik bir yatkınlığa sahip olabilir.
  • Doğuştan Faktörler: Bazı durumlarda doğuştan omurga şekli ve boyutunda anormallikler bulunur.
  • Kas Kısalması: Genellikle uzun süre oturmaktan kaynaklanan göğüs duvarı kaslarında, omuz kuşağı kaslarında ve psoas kasın gerginlik olur. Bu mekanik durum boyun düzleşmesine neden olabilir.
  • Yaşlanma: Yaş ilerledikçe yanlış beslenme ve egzersiz azlığı sebebi ile omurganın doğal eğriliği değişebilir. Bu durumda cervikal lordoz düzleşebilir.
  • Duygusal Stres: Duygusal stres özellikle solunum kaslarını da etkileyerek fiziksel olarak da kendini gösterir. Etkilenen boyun ve omuz gerginliğine neden olarak boyun düzleşmesine katkıda bulunabilir.
  • Aşırı Kilo: Vücutta yerçekimine karşı olan kasların güç dengesini etkileyerek postür bozukluğuna ve boyun düzleşmesine neden olur.

Boyun düzleşmesinin sağlığınız açısından anlamı nedir?

  • Boyun Ağrısı: Boyun eğrisinin kaybı boyundaki kas ve bağlarda zorlanmaya yol açarak kronik ağrı ve sertliğe neden olabilir.
  • Baş ağrıları: Düzleşmiş bir boyun omurgası, üst omurganın hizalanmasınıetkiler ve gerilim tipi baş ağrılarına yol açar.
  • Sinir Sıkışması: Omurların hizası bozulduğunda, bu durum omurilikten çıkan sinirlere baskı yapabilir ve kollarda veya ellerde uyuşma, karıncalanma veya güçsüzlüğe yol açabilir.
  • Hareket Kabiliyetinin Azalması: Boyun düzleşmesi boyun hareket kabiliyetini kısıtlayabilir ve başın rahatsızlık duymadan dönmesini,sağa sola çevrilmesini veya yanlara eğilmesini zorlaştırabilir.
  • Artan Yaralanma Riski: Yanlış hizalanmış bir servikal omurga, özellikle fiziksel aktivite veya travma sırasında daha fazla yaralanmaya eğilimlidir.

Boyun düzleşmesi tehlikeli midir?

  • Cevap, servikal eğriliğin ne ölçüde azaldığına ve günlük hayatınızı ne kadar etkilediğine bağlıdır.
  • Boyun lordozunun hafif düzleşmesi tehlikeli olmayabilir ancak yine de rahatsızlığa, sertliğe ve hareket açıklığının azalmasına yol açabilir.
  • Boyun düzleşmesi sinir sıkışmasına, kronik ağrıya ve başka komplikasyonlara yol açabileceğinden, ciddi vakalarda sorunun derhal ele alınması önemlidir.
  • Tedavi edilmediği takdirde disk herniasyonu (fıtıklaşma), sinir hasarı veya boyunda kalıcı hareket kaybı gibi daha ciddi durumlara yol açabilir.

Konservatif Tedavi Seçenekleri

Ağrı Yönetimi: Sıcak-soğuk uygulamalar, ağrı kesici-kas gevşetici ilaçlar, servikal düzleşmeye bağlı ağrıyı hafifletebilir.
Fizyoterapi: Bir hekim tarafından teşhis konulduktan sonra bir fizyoterapistin yapacağı değerlendirme sonucunda,

Kişiye özel verilen boyun ve omuz kuşağı egzersizleri

  • Postür eğitimi
  • Ergonomik eğitim
  • Kas ve ligamentler gibi yumuşak dokulara ve eklemlere uygulanacak manuel terapi teknikleri, mobilizasyon

İleri Cerrahi Teknikler

Cerrahi yalnızca konservatif tedavilerin başarısız kaldığı durumlarda düşünülebilir. Prosedürler altta yatan nedene ve rahatsızlığın yaygınlığına bağlı olarak değişiklik gösterebilir.

  • Mikrocerrahi: Bu minimal invaziv teknik, servikal omurgadaki hasarlı diskleri veya dokuları çıkarmak veya tedavi etmek için küçük kesiler ve özel aletler içeren küçük cerrahi işlemler
  • Minimal İnvaziv Omurga Cerrahisi (MISS): MISS teknikleri, daha küçük kesilerle omurganın düzgün hizalanmasını sağlayarak, iyileşme sürelerini kısaltır ve riskleri en aza indirir.
  • Spinal Füzyon: Ciddi servikal hizalama bozukluğu olan vakalarda, iki veya daha fazla omurun kemik greftleri kullanılarak birleştirilmesi ve böylece omurlar arasındaki hareketin ortadan kaldırılmasını içerir.

Boyun lordozundaki düzelme tedavisi, kişinin özel durumuna, semptomlarına ve genel sağlık profiline göre uyarlanması gerekir.

Sağlık Profesyonellerine Danışma

Kişiye özel bir tedavi planı geliştirmek için ortopedistler, fizik tedavi hekimleri ve fizyoterapistler gibi sağlık profesyonellerine danışmak gereklidir.

İlerlemenin İzlenmesi ve Düzenlenmesi

Tedavinin etkinliğini garanti altına almak ve değişen ihtiyaçlara uyum sağlamak için tedavi stratejilerinde ilerlemenin düzenli olarak izlenmesi ve gereken ayarlamaların yapılması gerekir.

Ergonomik Ayarlamalar

Sağlıklı Duruşu Destekler

Yaşam Tarzı Değişiklikleri: Yaşam tarzı değişiklikleri tıbbi tedavileri tamamlayıcı nitelikte önemli bir rol oynamaktadır.

Egzersiz ve Fiziksel Aktivite

Özellikle nefes egzersizleri ve boyun-sırt kaslarını güçlendirecek aktiviteler olmak üzere düzenli egzersizler tedavi sürecine destek olur.

Beslenme Desteği

Omega-3, Kalsiyum ve D vitamini açısından zengin, dengeli bir beslenme kemik sağlığını destekler, omurga sağlığının iyileşmesine ve korunmasına yardımcı olur.


Paylaş
Boyun Düzleşmesi
İlginizi Çekebilecek Yazılar
Omurga Anatomisi görselinde servikal, torasik, lomber ve sakral omurga bölgeleri ve S şeklindeki doğal eğri gösteriliyor.
Omurga Anatomisi
4 dakikalık okuma
Osteoporoz Nedir konusunu anlatan, kemik erimesi ve azalan kemik yoğunluğunu gösteren bilgilendirici sağlık görseli.
Osteoporoz
4 dakikalık okuma